• pin
  • The Centre
  • The Crescent
  • Colchester Business Park
  • Colchester
  • CO4 9QQ

Case 1

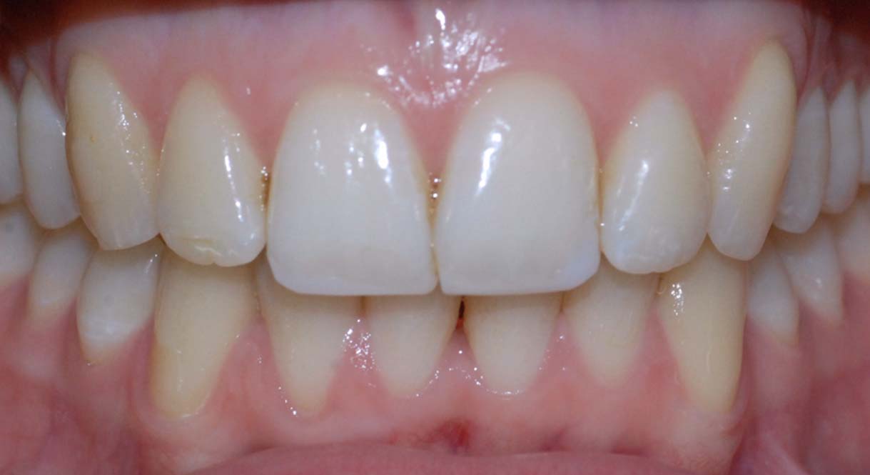
This patient wanted to close the gaps in between his teeth, he was unhappy with the shade and length…

Read More

Case 2

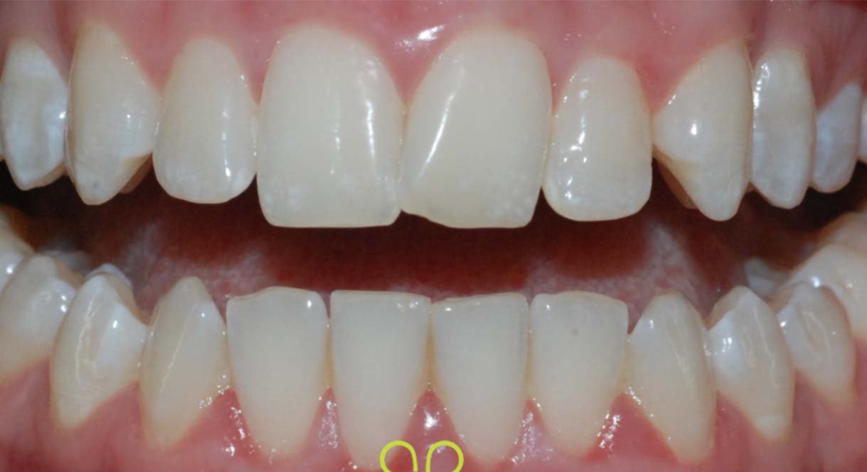
The patient was unhappy with the crowding of the upper arch and shade of her teeth. Treatment: Orthodontic…

Read More

Case 3

Patients upper front teeth crossed. Treatment: Orthodontics

Read More

Case 4

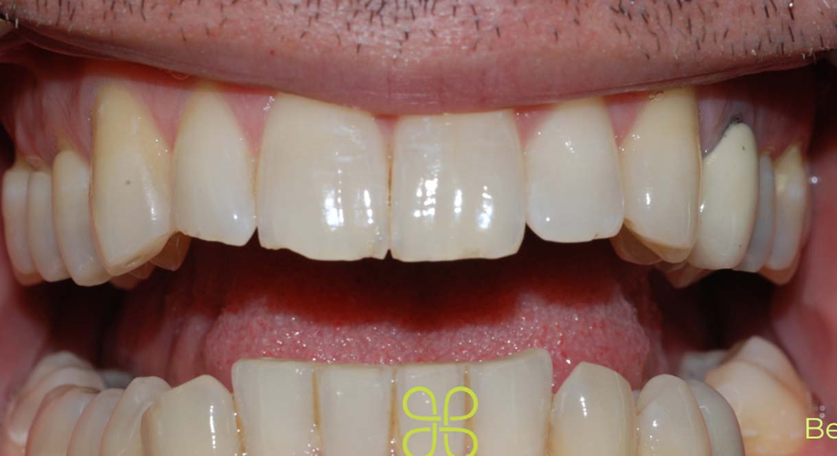
The patient's teeth showed signs of grinding and wear. The patient wanted to put back the tooth that…

Read More

Case 5

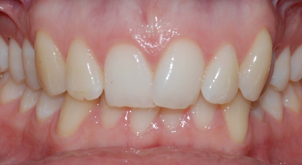
This patient was unhappy with the appearance of her crowded smile. Treatment: Teeth straightening using orthodontics

Read More

Case 6

This patient wanted to change the appearance of her front teeth, she was unhappy with the shade and…

Read More
symbol green plain shape
symbol green plain shape

What our patients say

g rated

"From the first moment I contacted Hello Dental I felt reassured and peaceful. My initial phone call to enquire about registering, and to explain my fear of dentists was met with such kindness and helpfulness. I came away from the conversation feeling like I had…"

S.Connell

"I’m so pleased with my teeth after having braces put on. I’m always smiling and I feel confident smiling, showing my new beautiful teeth off. Thank you so much, Neel."

H. Gooch

"Hello Dental is a thoroughly well-run practice, with friendly, attentive staff all maintaining very high standards of dental care. The best I have found."

J.C

"My second time with the laser and I can’t thank Neel enough for his supportive and encouraging attitude. Not only have I been needle free for all my treatments, but I can also honestly say I haven’t felt the slightest discomfort. I would have fallen…"

H. Cansdale

"6 months ago, I decided to try PRGF – Micro-needling combined with plasma on the recommendation of the practice to improve my skin. I have fair skin which is quite difficult, and sensitive, but also prone to breakouts and enlarged pores. I found the treatment…"

F.C

"I was referred to Hello Dental when my previous NHS dentist retired. I cannot express how delighted I am with the results and only regret not having come along sooner! From the start, it felt like a Rolls Royce service at Hello Dental, the practice…"

Sophie Davey

"I first went to see Neel after he came highly recommended by a colleague, and I was looking for someone to fix some poor work I had previously done through the NHS. The fact that Neel is still my dentist after 5 years is a…"

Darrell

"I have had a fear of the dentist my whole life. I recently had root canal treatment with Neel and can honestly say “it was a piece of cake”. He explained everything, was so patient with me and best of all, there was absolutely no…"

G. Shadbolt

"I came in a nervous wreck, but the time I spent with Neel was a good experience. Very patient, gentle, and understanding. Everyone was helpful, and friendly and will definitely be coming back for my treatment."

L. Bowen

"Everytime I visit Hello Dental I leave feeling positive, which after past experiences with previous dentists is amazing. The team are so helpful and considerate"

J. Mail

View all Testimonials

Get in Touch

icon1-combined-years-of-experience

50+

Combined years of experience

icon2-complex-cases

1000+

Complex cases

icon3-happy-patients

2000+

Happy patients

icon4-straightened-smiles

200+

Straightened smiles

  • pin
  • The Centre
  • The Crescent
  • Colchester Business Park
  • Colchester
  • CO4 9QQ
Google Rating
5.0
Google Rating
Google Rating