• pin
  • The Centre
  • The Crescent
  • Colchester Business Park
  • Colchester
  • CO4 9QQ

Can you have dental implants if you are a smoker?

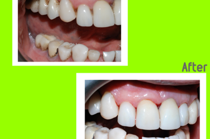
Dental Implants are possible for smokers. Like with any patient looking to have Dental implants we would…

Learn More

Can I have white teeth and still drink tea and coffee?

Yes! You can have white teeth and drink coffee…. Drinking coffee can stain your teeth and prevent…

Learn More

Time for braces?

Some people jump at the chance of receiving braces and acquiring those straight teeth and Hollywood smile.…

Learn More

You can still get braces in Colchester

Even if you missed out on braces as a child – maybe your misalignments weren’t severe enough…

Learn More

The science behind braces in Colchester

As you look in the mirror at your wonky teeth, do you think that because you are…

Learn More

Come out from behind your lips

Is your smiling hidden away behind closed lips? If so, and it’s because you think your teeth…

Learn More

What our patients say

g rated

"From the first moment I contacted Hello Dental I felt reassured and peaceful. My initial phone call to enquire about registering, and to explain my fear of dentists was met with such kindness and helpfulness. I came away from the conversation feeling like I had…"

S.Connell

"I’m so pleased with my teeth after having braces put on. I’m always smiling and I feel confident smiling, showing my new beautiful teeth off. Thank you so much, Neel."

H. Gooch

"Hello Dental is a thoroughly well-run practice, with friendly, attentive staff all maintaining very high standards of dental care. The best I have found."

J.C

"My second time with the laser and I can’t thank Neel enough for his supportive and encouraging attitude. Not only have I been needle free for all my treatments, but I can also honestly say I haven’t felt the slightest discomfort. I would have fallen…"

H. Cansdale

"6 months ago, I decided to try PRGF – Micro-needling combined with plasma on the recommendation of the practice to improve my skin. I have fair skin which is quite difficult, and sensitive, but also prone to breakouts and enlarged pores. I found the treatment…"

F.C

"I was referred to Hello Dental when my previous NHS dentist retired. I cannot express how delighted I am with the results and only regret not having come along sooner! From the start, it felt like a Rolls Royce service at Hello Dental, the practice…"

Sophie Davey

"I first went to see Neel after he came highly recommended by a colleague, and I was looking for someone to fix some poor work I had previously done through the NHS. The fact that Neel is still my dentist after 5 years is a…"

Darrell

"I have had a fear of the dentist my whole life. I recently had root canal treatment with Neel and can honestly say “it was a piece of cake”. He explained everything, was so patient with me and best of all, there was absolutely no…"

G. Shadbolt

"I came in a nervous wreck, but the time I spent with Neel was a good experience. Very patient, gentle, and understanding. Everyone was helpful, and friendly and will definitely be coming back for my treatment."

L. Bowen

"Everytime I visit Hello Dental I leave feeling positive, which after past experiences with previous dentists is amazing. The team are so helpful and considerate"

J. Mail

View all Testimonials

Get in Touch

icon1-combined-years-of-experience

50+

Combined years of experience

icon2-complex-cases

1000+

Complex cases

icon3-happy-patients

2000+

Happy patients

icon4-straightened-smiles

200+

Straightened smiles

  • pin
  • The Centre
  • The Crescent
  • Colchester Business Park
  • Colchester
  • CO4 9QQ
Google Rating
5.0
Google Rating
Google Rating